To convert something is an act of change and growth. It is the transformation of a journey from one point to another. Is the feeling of hope and inspiration. At its core, conversion means overcoming limitations that have held us back.

THE NEODENT TECHNIQUE FOR IMPROVING THE CONVERSION FROM REMOVABLE TO FIXED DENTURES.

THE FIRST STEP FOR IMMEDIACY: SIMPLE AS IT SHOULD BE
NeoConvert™ is a game-changing technique to convert removable to fixed dentures: the simplicity in every step for immediacy

ONE STEP CLOSER TO CONVERSION EFFECTIVENESS
NeoConvert™ values your chair time with efficiency: full conversion technique in your hands with a straightforward workflow

THE NEODENT TECHNIQUE FOR IMPROVING THE CONVERSION FROM REMOVABLE TO FIXED DENTURES.

THE FIRST STEP FOR IMMEDIACY: SIMPLE AS IT SHOULD BE
NeoConvert™ is a game-changing technique to convert removable to fixed dentures: the simplicity in every step for immediacy

ONE STEP CLOSER TO CONVERSION EFFECTIVENESS
NeoConvert™ values your chair time with efficiency: full conversion technique in your hands with a straightforward workflow

THE FIRST STEP FOR IMMEDIACY: SIMPLE AS IT SHOULD BE

The expectation for a faster procedure is a concern for both patients and professionals. Fewer appointments and lower chairside processing time may transform the patient journey while causing a favorable business impact through time savings.

ONE STEP CLOSER TO CONVERSION EFFECTIVENESS

The expectation for a faster procedure is a concern for both patients and professionals. Fewer appointments and reduced chairside processing time may transform the patient journey while causing a favorable business impact through time savings.

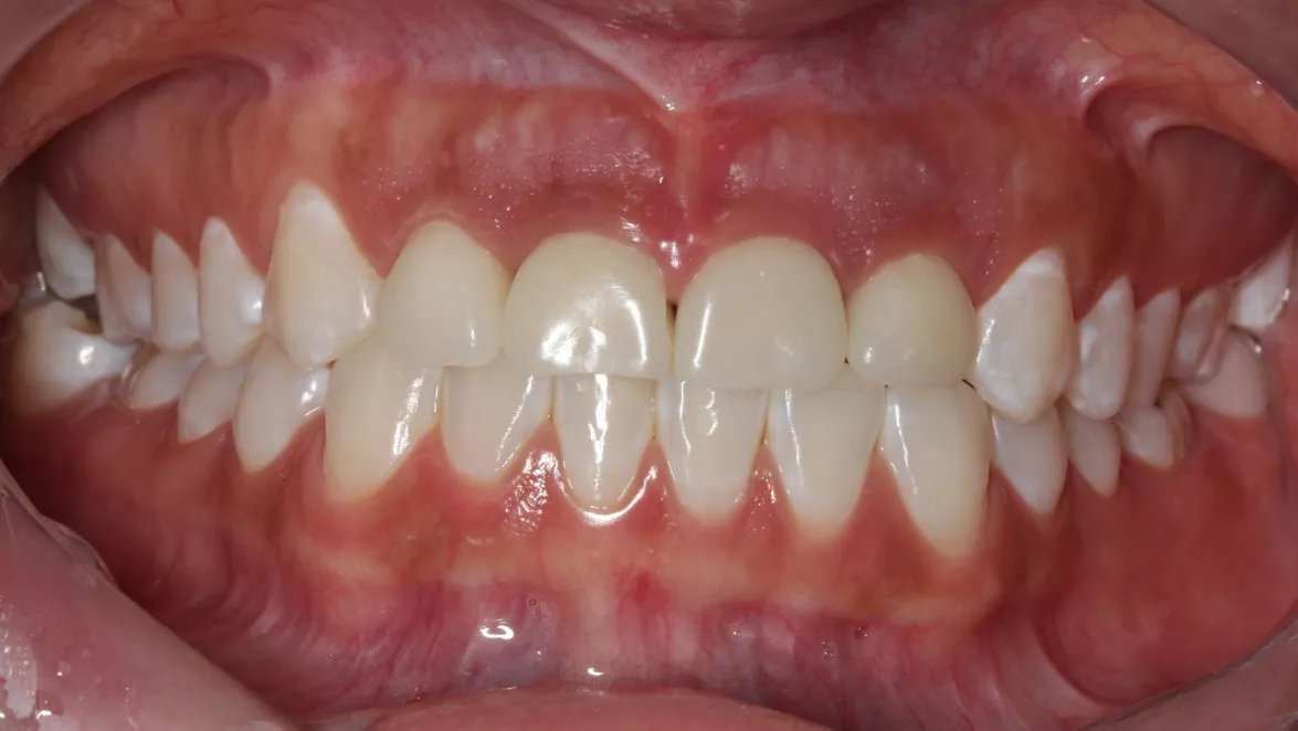
TAKE A LOOK AT THE CLINICAL CASE MADE BY DR. GENINHO THOMÉ WITH NEOCONVERT™

Chairside






TAKE A LOOK AT THE CLINICAL CASE MADE BY DR. GENINHO THOMÉ WITH NEOCONVERT™


Dr. Geninho Thomé

Neodent founder and
Scientific President

Chairside

Lab





Our Portfolio

Downloads

Find more content on our Download Center.

Contact Us

Straumann collects your information to facilitate the commercial relationship, contact you regarding future product offerings and promotion and all other permissible business purposes. Please see our Privacy Policy for more information.