Labrida BioClean™

インプラント周囲の健康維持の為に



Labrida BioClean™は、インプラント表面構造を傷つけないクリーニングブラシです。インプラント(ポケット深さ4mm以上)のクリーニング用に設計されました。


効果的なインプラントケア1-5
インプラント表面を効果的に、軟組織にも優しいクリーニングブラシです*

インプラント周囲のメンテナンス1-3、6-9
健康状態のインプラント周囲や、インプラント周囲粘膜炎・インプラント周囲炎の予防と治療をサポート

患者さんの快適性の向上2
チタン製のキュレットと比べて、キトサン(食物繊維)ブラシの為、患者さんの快適性が向上 

Quick  guides

Labrida BioClean™ は、インプラントおよび/ または歯肉縁下 ( ポケット深さ ≧ 4 mm) の清掃用に設計されています。
実際の使い方は、下記内容を参考にしてだくさい。

  • 1. 箱を開けます
  • 2. パウチを開けて中身を取り出します
  • 3. Labrida BioClean™の入ったホルダー を慎重に滅菌生理食塩水につけ、 2 分間放置します。
  • 4. Labrida BioClean™ をホルダーから取り外します。キトサンフィラメントを損傷する可能性があるため、指や器具で青いブラシの毛に触れないようにしてください。
  • 5. ハンドピースにブラシを取り付ける
  • 6. ハンドピースを使用する前に、インプ ラントまたはポケットにブラシを慎重に入れます。力をかけずに使用します。( ≦ 1000 rpm)
  • 7. 治療後、インプラント周囲および/またはポケットを滅菌生理食塩水ですすぎます。再滅菌して再使用することはできないため、ブラシは破棄してください。
※Labrida BioClean™ インプラント クリーニング用ブラシです。機器を再滅菌して再使用する事は、絶対に行わないでください。

CASE REPORT 臨床ケースレポート


MOVIE

CASE No.1 山口 文誉 先生(横浜市開業)

Labrida 施 術 前
Labrida 施 術 中
Labrida 施 術 後(4週後 )

CASE No.2 佐久間 栄先生(東京都練馬区開業) 

Labrida 施 術 前
Labrida 施 術 中
Labrida 施 術 後( 1週後 )
Labrida 施 術 後( 4週後 )
Labrida 施 術 前
Labrida 施 術 中
Labrida 施 術 後( 1週後 )
Labrida 施 術 後( 4週後 )

PhotoS

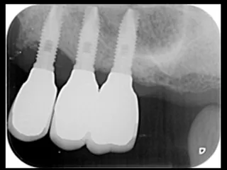
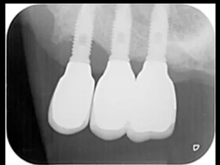
CASE No.1 奈良 嘉峰 先生(神奈川県茅ヶ崎市開業)

Labrida 施 術 前
施 術 前 (レントゲン写真)
Labrida 施 術 後(4週後 )
炎症とBOP消失
 施 術 後 (レントゲン写真)

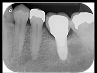
CASE No.2 奈良 嘉峰 先生(神奈川県茅ヶ崎市開業)

Labrida 施 術 前
施 術 前 (レントゲン写真)
Labrida  施 術 後(4週後 )
炎症とBOP消失
施 術 後 (レントゲン写真)

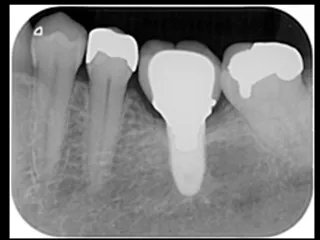
CASE No.3 奈良 嘉峰 先生(神奈川県茅ヶ崎市開業)

Labrida 施 術 前
施 術 前 (レントゲン写真)
Labrida  施 術 後(4週後 )
炎症とBOP消失

CASE No.4 大月 基弘 先生(大阪府大阪市開業)

Labrida 施 術 前
施 術 前 (レントゲン写真)
Labrida 施 術 後(2週後 )
PPD7㎜からPPD3㎜、
BOP(ー)に変化、炎症消失

e-Book

MATERIALS

CHITOSAN

ブラシの毛は、キトサン(食物繊維)で作られています。キトサンは、高度に精製された海洋生体高分子であり、カニ、エビの甲羅や殻の主成分キチンから抽出される食物繊維です。非アレルギー性の海洋バイオポリマーです。生体適合性、再吸収性 素材です。

LABRIDA

名前の由来は、数ある掃除魚(Cleaner fish)の1つ、ベラ(Labridae)より来ています。

FAQ

Labrida BioClean™に関連するよくある質問と回答

Labrida BioClean™は複数回使用できますか?

Labrida BioCleanTM インプラント洗浄ブラシです。ブラシを再滅菌して2回使用することはできません。

Labrida BioClean™のブラシの毛はキトサンは貝類(エビ)由来ですが、アレルギーがあるのでは?

キトサンは非アレルギー性です。化学的に修飾されており、動物由来とは見なされません。
従って、Labrida BioClean™は貝類アレルギーのある患者にも使用することができます。

Labrida BioClean™によるメンテナンス処理は、どのくらいの頻度で行えばよいのでしょうか?

年に 2~4 回のメンテナンス治療を行うことが推奨されます。
臨床での反応に応じて3ヶ月〜6ヶ月間隔で、Labrida BioClean™によるインプラント表面清掃を行ってください。

 

ワイヤーは損傷を引き起こす可能性がありますか?

ワイヤーによる損傷は確認されていません。
キトサン繊維が滅菌生理食塩水に浸かって膨張し、ワイヤーとその先端を覆っているのです。ワイヤーは柔軟性があり、必要であれば調整することができます。

治療中に剥がれたキトサン繊維はどうなりますか?

キトサンは再吸収性があり、インプラントポケット内に放置すると消失します。
そのため、異物反応を起こすことはありません。また、キトサンは生体適合性であることが報告されています。。

キトサンはどこで収穫され、ブラシはどこで生産されるのですか?

キトサンの原料であるエビは、ノルウェー北部郊外の海で収穫されています。
ブラシはChitinor社(ノルウェー・トロムソ)で生産されています。
ChitinorはLabridaのキトサンのサプライヤーです。

ノンアレルギーの関連性とは?

キトサンは非アレルギー性であるため、Labrida BioClean™は貝類アレルギーの患者にも使用することができます。
キトサンがアレルギー反応を引き起こすことはありません。
キトサンは化学修飾されたもので、動物由来とは考えられていません。

Labrida BioClean®は、貝類アレルギーの患者にも使用できますか?

はい、クリーニンブラシは、貝類アレルギーの方にもご使用いただけます。
キトサンがアレルギー反応を引き起こすことはありません。
キトサンは化学修飾されており、動物由来とは考えられていません。

ブラシのキトサンの吸収時間はどのくらいですか?

弱酸性の環境では、キトサンは数時間で溶解します。
インプラントポケットのpHが弱酸性である場合は、数日かかる場合があります。
キトサンファイバーは生体適合性なので、溶解時間に関係なく、損傷を引き起こすことはありません。

Labrida BioClean™は乾燥した状態で使用できますか?

いいえ、乾燥して使用することはできません。
必ず滅菌生理食塩水に2分以上浸しておく必要があります。
これにより、キトサン繊維が膨張し、柔らかく柔軟になり、最適な強度が得られます。

使用期限はありますか?

使用期限はあります。 
※記載されている有効期間内に必ず使用してください。

PRODUCT CATALOG

Straumann Japan から発行されている 全カタログ・フライヤー 一覧

ストローマン製品に関するお問い合わせ

デジタル製品コースに関するお問い合わせは、別フォームよりお問い合わせください。
データ使用に関する同意*

当社のPrivacy Noticeをお読みください。

上記のコードを再入力してください

ご質問内容によっては、ご回答までお時間を頂く場合がございます。何卒、ご了承いただけますと幸いです。

参考文献

1 Wohlfahrt JC, Aass AM, Koldsland OC: Treatment of Peri-Implant mucositis using a resorbable chitosan brush- a pilot clinical study EAO 22nd, annual scientific meeting, poster presentation, Dublin 2013
2 Wohlfahrt JC, Aass AM, Koldsland OC: Treatment of peri-implant mucositis with a chitosan brush-A pilot randomized clinical trial.Int J Dent Hyg 2019;17:170-176.
3 Wohlfahrt JC, Evensen BJ, Zeza B, Jansson H, Pilloni A, Roos-Jansaker AM, Di Tanna GL, Aass AM, Klepp M, Koldsland OC: A novel non-surgical method for mild peri-implantitis- a multicenter consecutive case series.Int J Implant Dent 2017;3:38.
4 Larsen OI, Enersen M, Kristoffersen AK, Wennerberg A, Bunæs DF, Lie SA, Leknes KN: Antimicrobial Effects of Three Different Treatment Modalities on Dental Implant Surfaces.J Oral Implantol.2017 Dec;43(6):429-436. doi: 10.1563/aaid-joi-D-16-00147.Epub 2017 Oct 3.
5 Wohlfahrt et al.2012.A SEM analysis of titanium implant surfaces after instrumentation with BioClean or titanium curette, unpublished data (included in Technical file)
6 Costa FO, Takenaka-Martinez S, Cota LO, Ferreira SD, Silva GL, Costa JE.Peri-implant disease in subjects with and without preventive maintenance: a 5-year follow-up.J Clin Periodontol.2012 Feb;39(2):173-81. doi: 10.1111/j.1600-051X.2011.01819.x.Epub 2011 Nov 2
7 Roccuzzo M, Layton DM, Roccuzzo A, Heitz-Mayfield LJ.Clinical outcomes of periimplantitis treatment and supportive care: A systematic review.Clin Oral Implants Res.2018 Oct;29 Suppl 16:331-350. doi: 10.1111/clr.13287.
8 Monje A, Aranda L, Diaz KT, Alarcón MA, Bagramian RA, Wang HL, Catena A. Impact of Maintenance Therapy for the Prevention of Peri-implant Diseases: A Systematic Review and Meta-analysis.J Dent Res.2016 Apr;95(4):372-9. doi: 10.1177/0022034515622432.Epub 2015 Dec 23.
9 Jepsen S, Berglundh T, Genco R, Aass AM, Demirel K, Derks J, Figuero E, Giovannoli JL, Goldstein M, Lambert F, Ortiz-Vigon A, Polyzois I, Salvi GE, Schwarz F, Serino G, Tomasi C, Zitzmann NU.Primary prevention of peri-implantitis: managing peri-implant mucositis.J Clin Periodontol.2015 Apr;42 Suppl 16:S152-7. doi: 10.1111/jcpe.12369.
10 Arancibia R et al.Effects of chitosan particles in periodontal pathogens and gingival fibroblasts.J Dent Res.2013 Aug;92(8):740-5. doi: 10.1177/0022034513494816.Epub 2013 Jun 20.
11 Suyeon Kim Competitive Biological Activities of Chitosan and Its Derivatives: Antimicrobial, Antioxidant, Anticancer, and Anti-Inflammatory Activities Hindawi International Journal of Polymer Science Volume 2018, Article ID 1708172, 13 pages https://doi.org/10.1155/2018/1708172
12 Saini S, Dhiman A, Nanda S Immunomodulatory Properties of Chitosan: Impact on Wound Healing and Tissue Repair.Endocr Metab Immune Disord Drug Targets.2020 May 2. doi:10.2174/1871 530320666200503054605.[Epub ahead of print]