Immediate loading for a bi-maxillary rehabilitation: a protocol involving stackable surgical guides approach and a combination of Tissue Level and Bone Level Axiom X3® implants.

Dr. Fabian HIRSCH

DOCTOR OF DENTAL SURGERY

Germany

  • Studied dentistry at the Charité University in Berlin.
  • APW Academy Practice and Science APW in Düsseldorf, specialized in Implantology and Prosthetic.
  • Curriculum for Special Surgery at the Cezanne Institute in Berlin.
  • Curriculum for implant surgery at Schütz-Dental.
  • Founder and owner of the branch practice group 1A Zahn, Zeuthen near Berlin.
  • Focus on implantology since 2008 with intensive occupation on the oral soft tissue and the use of growth factors.
  • PEERS member, APW member 


Case introduction

A 68-year-old patient with proper oral care presents with the desire for complete rehabilitation. Following thorough clinical and radiographical analyses and pre-treatments, the treatment plan required extraction and involved a combination of Axiom X3® TL and Axiom X3® BL implants. The mandibular restoration included four Axiom X3® TL implants to facilitate future permanent restoration.

In the upper jaw, six teeth were retained. This was followed by a bilateral external sinus lift and concurrent placement of Axiom X3® BL implants for the realization of combined tooth-implant-supported fixed dental crowns and bridges.

This treatment approach provided enhanced gingival support and additional choices for the emergence profile for the subsequent crowns. Temporary prostheses were placed on both jaws immediately after implantation.

Initial situation

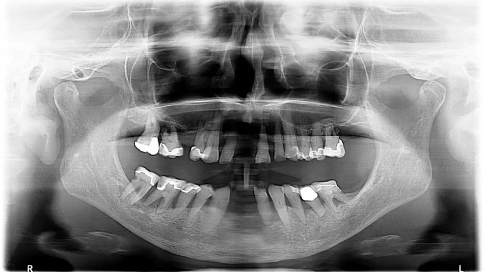
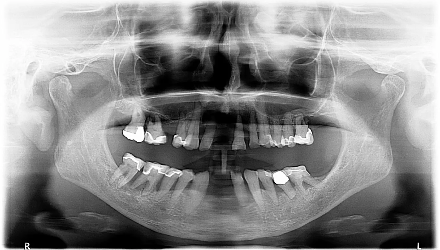
1.Pre-operation radiograph:
Clinical examination with x-ray showing a poor prospective for long-term prosthetic life of teeth on the lower jaw. In the upper jaw, teeth 13, 12, 22, 23, 24 and 25 were permanently preserved following preliminary treatment.

2. Display of teeth once pretreatment was completed. Treatment plan for the implant positions done using CBCT and intraoral scans at this stage.

3. Plan of full guided workflow: implant alignment, sleeve placement and surgical drill guide design in coDiagnostiX®.

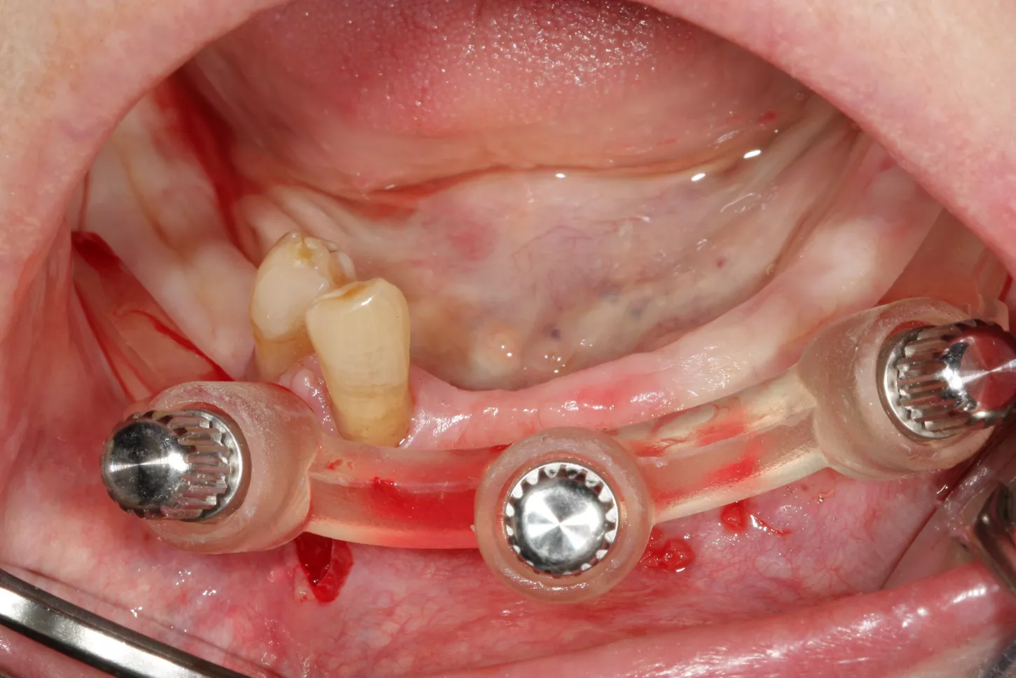
4. Maintenance of the Occlusal Vertical Dimension (OVD) for immediate restoration by temporary attachment of the positioning bar in occlusion by a stackable guide design (Priamond.de) and using the anchor pins included in the INTEGRAL kit.

5. Using the bar which stays in the mouth, we were able to position the actual drilling guide precisely despite the complete removal of the remaining teeth.

6. Representation of implants used; lower jaw, four Axiom X3® Tissue Level Narrow platform implants of gingival height 2.5 mm in Ø3.4 mm and Ø4.0 mm. Upper jaw, Axiom X3® Bone Level Ø3.4 mm and Ø4.0 mm.

7. Drill L6.5 green, diameter 2.4.

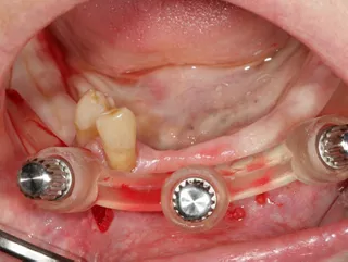
8. Implants are in situ; the procedure was minimally invasive.

9.  Positioning of the Tissue Level temporary abutments platform N plural reference number TC100-N-P to accommodate the prefabricated temporary restoration.

10.  The temporary restoration is positioned in the mouth using the final stackable splint to ensure that the patient's original occlusion is maintained. The temporary restoration is bonded intraorally around the temporary abutments. Despite the precise implant positioning, there may be slight deviations in the dental arch, so this procedure is recommended.

11. The temporary restoration with correct occlusion and jaw relation, at the end of the operation.

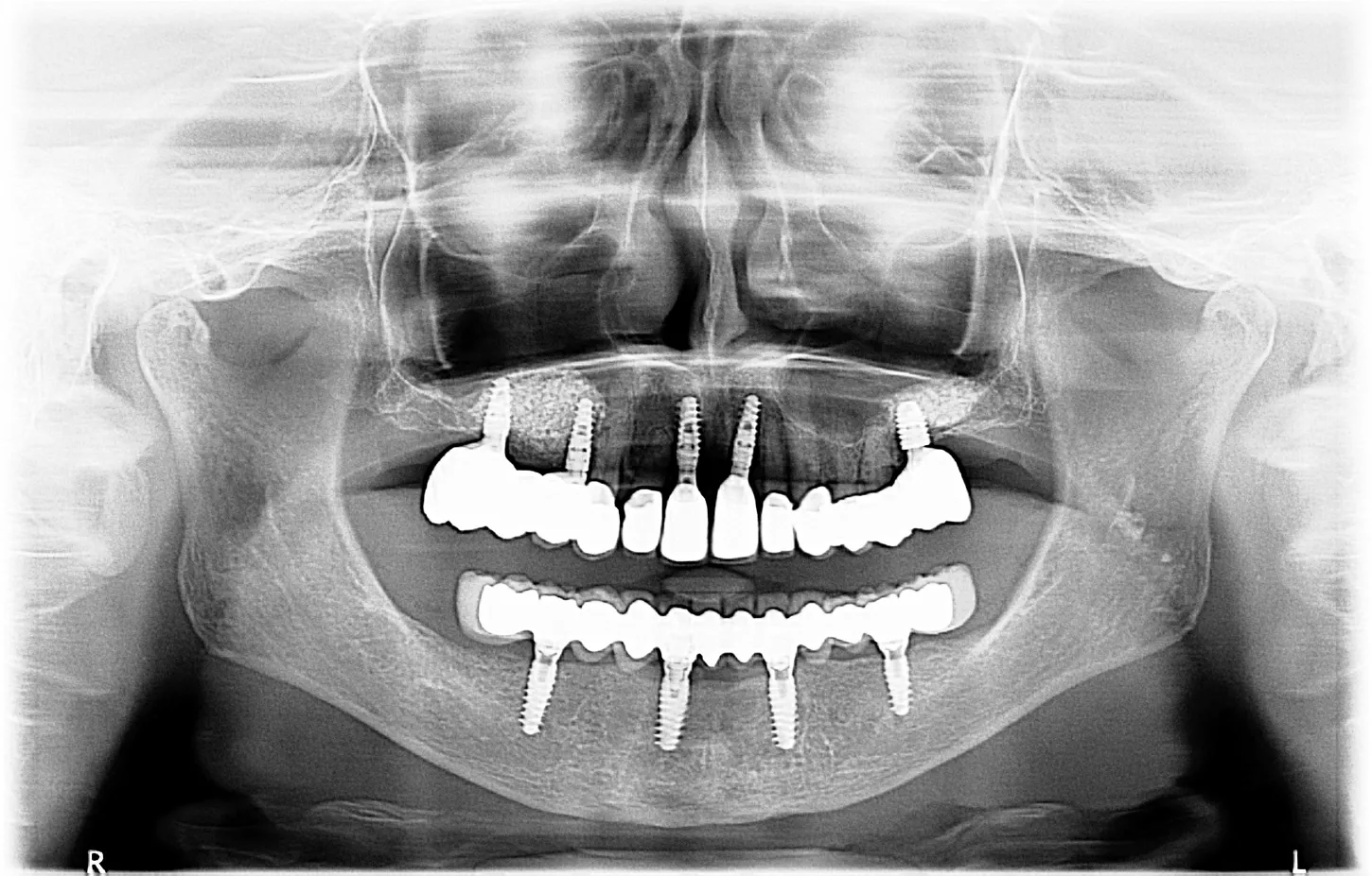
12.  The postoperative OPG shows the implant placement as planned

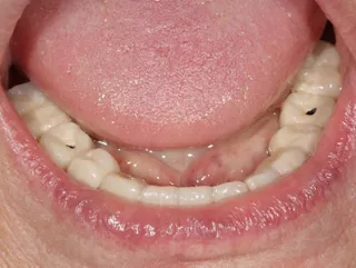
13. Occlusal pictures of healing around the implants at 3 months follow-up upon removal of the provisional prosthesis.

14. Positioning of the transfers in the lower jaw for impression.

15. The framework structure for the lower jaw ensures a precise fit on the 4 Axiom X3® TL implants.  

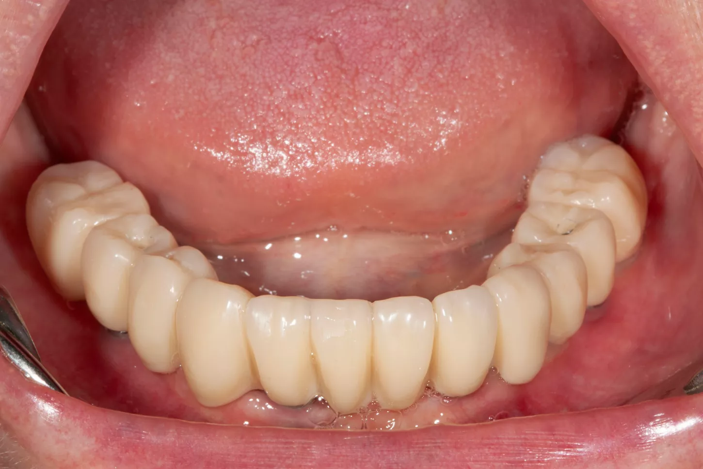
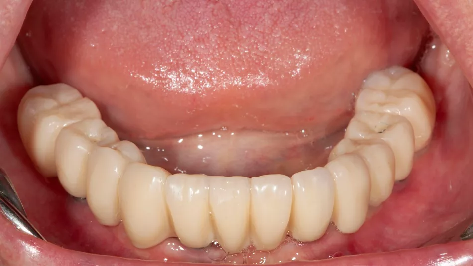
16. Display of the finished lower jaw work after osseointegration.

17.  Final control OPG with the complete treatment of the upper and lower jaw.

Conclusion

The Axiom implants range provides the option to choose different implants and create combinations for tailored treatment solutions. In this situation, the application of Axiom X3® BL in the upper jaw along with Axiom X3® TL implants in the lower jaw resulted in visually appealing outcomes, made possible through a straightforward single-stage fully guided restoration using individual teeth and a bridge. The stackable guide concept ensures the correct jaw relation is maintained, irrespective of tooth loss in either jaw. The implantation protocols for both implants are comparable, and all the required instruments are contained within the same surgical kit. This was appealing and offered a considerable degree of flexibility and convenience. Overall, this approach enhanced patient compliance, reduced both operating and chairside times.