Benefits and convenience of using
the Axiom X3® Tissue Level implant
for posterior tooth replacement

Dr. Juan Manuel MOLINA

Dental Surgeon

Murcia, Spain

  • Degree in Dentistry from the University of Murcia
  • University Diploma in Oral and Maxillofacial Implantology
  • External lecturer on the Master's Degree in Mucogingival,
    Periodontal and Implant Surgery


Case introduction

This 70-year-old patient, smoker of less than 5 cigarettes per day and in good health (no medication), is affected with a periodontal disease. She has not followed her maintenance treatment since the start of Covid19 and comes to the clinic with discomfort in the 3rd and 4th quadrant showing various levels of bone loss. Extractions of the 3rd quadrant were carried out with the aim of achieving correct healing of the hard and soft tissues. A periodontal treatment was performed on the remaining teeth, trying to be as conservative as possible. Finally, the evolution and persistence of symptoms in the 4th quadrant led to extraction and implantation in the two posterior sectors of these quadrants.

Initial situation

1. Preoperative X-Ray.

2. Preoperative frontal view.

3a. 3b. Intraoral lateral view after extractions and a waiting period of 6 to 8 weeks for proper soft tissue healing and closure.

4a. 4b. Intraoral upper and lower occlusal view after this period, which allows us to assess the healing and the correct quantity and quality of the soft tissues.

5a. 5b. CBCT at this time allowing us to assess bone healing and plan our implant surgery in both quadrants.


Curious about Axiom X3® Tissue Level?

Benefit from the best of Axiom X3® design in a Tissue Level clinical approach.



Surgery

6. In both quadrants, intrasulcular incisions were made in the anterior teeth, followed by supracrestal incisions, avoiding distal and mesial discharges. In both cases soft tissue augmentation was excluded.

7a. 7b. Bone preparations and assessment of correct 3D position in relation to adjacent teeth, implant parallelism and implant distance were performed.

8a. 8b. In the 3rd quadrant, Axiom® PX Tissue Level implants, 3.4 x 10 with a smooth neck of 2.5 mm height, narrow platform (N/4 mm) were planned in the 35 position and Axiom® PX Tissue Level 4 x 8 with a smooth neck of 2.5 mm height, narrow platform (N/4 mm) were planned in the 37 position. On the other hand, in the 4th quadrant, the new Axiom X3® Tissue Level implants with a smooth neck of 2.5 mm height, narrow platform (N/4 mm), 3.4 x 10 and 3.4 x 8 were used for positions 46 and 47, respectively.

9. Detail of the design of the new Axiom X3® Tissue Level implants used for the rehabilitation of the 4th quadrant.

10. Passive insertion of the 3.4 x 10 x 2.5 implant in position 46 using a surgical contra-angle handpiece.

11a. 11b. Occlusal view of the final position of the Axiom® Tissue Level implants in both quadrants. The subcrestal positioning of the implant body was 1mm to 1.5 mm, for the accommodation of the soft tissues.

12a. 12b. Suturing and placement of healing screws of narrow width and variable height of 2 and 4 mm depending on the situation.

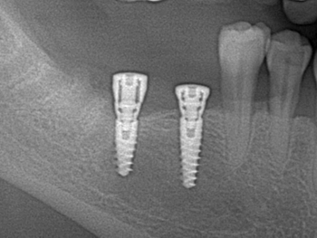
13a. 13b. Postoperative radiographic evaluation of both quadrants operated on.

14. Intraoral evaluation of tissue healing at 3 months.

15a. 15b. Occlusal view of the fully healed tissue after removal of the healing screws. The use of Tissue Level implants facilitates manipulation in posterior areas, both from the patient's and practitioner's point of view.

Prosthetic restoration

16. Digital impression with the new Digital Transfer in metal from Anthogyr.

17a. 17b. Occlusal and lateral views of the digital model.

18. Complete digital models in occlusion.

19a. 19b. Digital design of the prosthesis.

20a. 20b. 20c. Resin printed models and physical mock-up.

21a. 21b. Verification and adjustment of resin physical mock-up.

Final situation

22a. 22b. Definitive prosthesis in monolithic zirconia.

23a. 23b. Radiographic verification of the correct fit of the provisional prosthesis in resin and the final prosthesis.

24a. 24b. Lateral and intraoral occlusal view of the definitive prosthesis after functional checks.

Conclusion

In this patient's case, we encountered a simple situation of a posterior restoration that allowed us to use Axiom® Tissue Level implants and to compare the PX design that has been on the market for years with the new X3 design.

The comparison between the two designs allowed us to observe some differences. On the one hand, a reduced drilling protocol has allowed us to preserve more bone tissue where we need it, i.e. around our implants, and to optimize surgery time. On the other hand, the design of the new Axiom X3® implant has allowed  a "passive" insertion of the implant, without intraoperative surprises, and with obtaining an optimal torque.

Although the current trend in dentistry is the use of Bone Level implants, Tissue Level implants present undeniable clinical benefits in many clinical indications.